die eigene anamnese

    • 1981

schwellung und rötung kurz unterhalb des fingernagels des zeigefingers an der linken hand.

mein hausarzt nennt es ein panaritium und verordnet mir desinfizierendes baden des fingers. es wird nicht besser, aber auch nicht schlimmer.

diese bilder sind zwar aus dem jahre 2002, aber im prinzip sah das 1981 ähnlich aus.
mir war damals noch nicht klar, daß es sich lohnen wird, fotos davon zu machen.

    • nach längerem (es müssen wochen gewesen sein) frage ich nach einem röntgenbild.

er hält es für sinnlos, aber einem angehenden kollegen will er sich auch nicht verweigern.

der radiologe zeigt mir die bilder - um einen vergleich zu haben, hat er beide hände geröntgt. es sähe alles gut und gesund aus.

ich hatte damals noch keine ahnung von röntgenbildern, aber durch mein eigenes großes fotolabor, von der betrachtung von schwarz-weiß filmen.

ich wies ihn darauf hin, daß am zeigefinger der linken hand ein schwarzes loch zu sehen sei, das rechts fehlte.

ja, so etwas gäbe es schon mal, aber das sei normal.

irgendwann ging die schwellung und rötung wieder vollständig zurück.

aber nur, um im verlauf der weiteren jahre wieder, und jetzt dauerhaft, zu erscheinen, und auch die anderen finger zu befallen (siehe unten).

        bewertung (und lehren für mein - berufliches – leben)

ein panaritium ist eine eitrige entzündung des nagelbettes. ohne eiter kein panaritium. also war diese diagnose falsch.

solch ein langer, stillstehender verlauf, spricht gegen eine infektiöse entzündung.

wenn sich durch ein diagnoseverfahren (hier das röntgen) etwas ergibt, das 'merkwürdig', also anders als die norm aussieht, das außerdem in örtlichem zusammenhang zu einem körperlichen befund steht, so gibt es einen zusammenhang und ist nicht als sogenannte 'normvariante' zu sehen.

    • 1981

veränderungen des nagels am zweiten zeh des rechten fußes.

mein hausarzt (immer noch derselbe) spricht von fußpilz und rät zur entfernung des nagels.

diese wird in lokaler betäubung durchgeführt. der nachwachsende sieht genauso aus wie vorher, ich lasse mich zu einer zweiten nagelentfernung überreden. diesesmal wächst kein richtiger nagel mehr nach. um das nagelbett herum bildet sich eine leichte schwellung und rötung aus.

        bewertung

die entfernung eines zehennagels war auch 1981 schon nicht mehr 'up to date' und eine fehlerhafte maßnahme.

ich war nicht in der lage selbst einen zusammenhang zwischen dem finger und dem zeh zu erkennen.

    • in den nächsten zwei jahren ...

stelle ich mich bei diversen hautärzten vor, alle diagnostizieren sie als 'blickdiagnose' einen fußpilz, aber alle versuche einen pilz nachzuweisen, schlagen fehl.

schauen sie sich bitte zum thema ‘pilzinfektion’ auch diesen artikel an, den ich auch bei den symptomen zur ostitis multiplex cystoides jüngling erwähnt habe:

SARCOIDOSIS OF HANDS

ein zitat daraus:

‘... that the condition had originally bee treated as a fungus infection ... ‘

... daß dieser zustand primär als pilzinfektion behandelt worden ist ...

und schon wieder bin ich beim thema der zurodnung von symptomen, die verglichen werden mit erfahrungswerten die dann - eben auch den falschen - diagnosen zugeordnet werden. siehe auch hier meine anmerkung.

natürlich habe ich den hausarzt gewechselt. mein neuer sagte: 'du hast irgendetwas, aber ich weiß nicht was' und nahm mich durch die, einem hausarzt zur verfügung stehende, diagnostische mangel. so auch ein röntgenbild der lunge, aber auch dieser radiologe sah in dem bild einen normalbefund.

    • 1983

schließlich stelle ich mich in der dermatologischen ambulanz der uniklink vor.

der professor (obwohl ich kassenpatient bin!) schaut sich meinen fuß an und meint: "das sieht ja aus wie ein fußpilz." und ich dachte: 'mist, schon wieder so einer'. aber, bevor ich diesen satz zuende gedacht hatte fuhr er fort: "aber ich glaube nicht, daß es ein fußpilz ist."

es wurde, wiederum in lokaler betäubung, ein stückchen haut entfernt und unter dem mikroskop untersucht.

das ergebnis: sarkoidose

ich wurde nach alten befunden gefragt und zeigte die röntgenbilder von der linken hand und der lunge.

ja, das lungenbild sei ein eindeutiger befund für eine sarkoidose im stadium I und das bild des zeigefingers links zeige eine knochenzyste 'Ostitis multiplex cystoides Jüngling', einen typischen befund für eine sarkoidose.

das original des röntgenbildes des zeigefingers der linken hand ist leider in den archiv-wüsten der uni verlorengegangen.

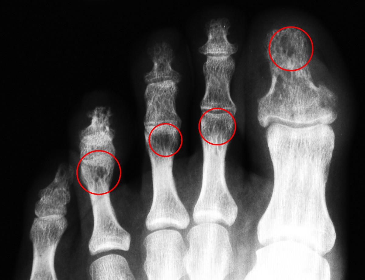
stattdessen zeige ich hier beispielhaft ein röntgen-bild des linken fußes:

hier versagt natürlich die auflösung einer standard-darstellung im webbrowser, dennoch sind als dunkle flecken die cysten (hohlräume) zu erkennen.

einige bereiche habe ich markiert.

auch die feine struktur eines normalen knochenaufbaus hat sich aufgelöst.

im weiteren verlauf der jahre

    • stellt sich die frage nach einer kortison-therapie. ich habe zwar noch keine spürbaren einschränkungen, aber der befall der finger und fußzehen nimmt langsam zu. wir entschließen uns zweimalig zu einer therapie mit prednisolon, die aber keine erwünschte wirkung zur folge hatte.

    • 1991 die ersten bewußt schweren zeiten

        stattdessen bildet sich bei mir am linken auge ein steroidkatarakt aus. das ist eine linsentrübung des auges, vergleichbar mit einem grauen star, hervorgerufen durch das kortison.

        dieses bemerke ich schlagartig dadurch, daß von einem tag auf den anderen, mein räumliches sehen ausfällt. zu der zeit war ich als chirurg tätig, und ohne räumliches sehvermögen, ist diese tätigkeit nicht ausübbar.

        zur erwähnten schwellung und rötung der finger- und zehenendglieder kommen knochenschmerzen in den betroffenen arealen hinzu. zeitweise in der linken großzehe so heftig, daß sie nur noch mit hochgelegtem fuß und tramal medikation auszuhalten war.

diese spontanen schmerzen haben an intensität und häufigkeit wieder abgenommen, allerdings sind nun finger und füße an ihrer oberseite (dorsal) extremst schmerzempfindlich gegenüber minimaler gewalteinwirkung.

        hinzu kommt eine enorme körperliche erschöpfung, die schließlich dazu führt, daß ich vor ablauf meines befristeten dreijahres-vertrages kündige.

    • bewertung

dies war das erste mal, daß es mir mental und körperlich sehr schlecht ging, ich anfing lernen und akzeptieren zu müssen, deutlich eingeschränkt zu sein.

der ausfall des räumlichen sehens hat mich mental ungeheuer verunsichert, erfuhr ich doch die abhängigkeit meiner berufsausübung von meiner körperlichen unversehrtheit - die nicht mehr gegeben war.

die erschöpfung, wodurch war sie bedingt? zunächst habe ich sie ausschließlich auf den wahnsinn der durchgehenden 36 stunden dienste sechs mal im monat zurückgeführt während alle anderen kollegen/-innen das völlig normal fanden. ein unendliches thema, das ich aber hier nicht ausufern lassen möchte.

heute für mich völlig unverständlich, wieso ich von mir aus gekündigt habe, anstatt mich krank schreiben zu lassen. so sehr habe ich verdrängt ernsthaft krank geworden zu sein, daß ich eher bereit war auf mein einkommen zu verzichten.

 

die folgenden jahre sind geprägt durch ein suche:

    • was ist wirklich mit mir los? es war mir nicht bewußt, aber es hatte den anschein, als wollte ich die sarkoidsoe nicht akzeptieren.

    • nach einem hausarzt. einem arzt, der mich als ganzen menschen wahrnimmt und nicht nur einen dermatologen, der nur auf meine hände und füße schaut, und nicht nur einen pulmonologen, der sich meine lunge anschaut.

    • sarkoidose (und später berylliose) als systemerkrankung, als erkrankung des ganzen menschen zu begreifen, scheint ungeheur schwer zu sein.

    • ab 1994

    • es bilden sich, ganz langsam aber zunehmend, kopfschmerzen aus. zunächst nur vereinzelt, ab ende der 1990'er jahre aber immer häufiger.

ein zuverlässiger auslöser ist körperliche erschöpfung, aber auch im ausgeruhten zustand beeinträchtigen sie zunehmend mein alltägliches leben.

    • 2000 / 2001

auf der suche nach 'erleuchtung' fahre ich, auf einen hinweis hin, nach borstel in eine pulmonologische klinik, zugehörig zur uni-klinik lübeck.

dort treffe ich auf professor müller-quernheim, der mich fragte, ob ich schon einmal etwas von beryllium gehört hätte.

nein hatte ich nicht. auch ohne, daß ich in meinem lebenslauf eine direkte belastung durch beryllium erkennen konnte - dabei war sie ganz offensichtlich - wurde ein lymphozytenproliferationstest und eine kontrolle durchgeführt. das ergebnis: "Sie dürfen sich von Ihrer Diagnose, der Sarkoidose verabschieden." dieser satz ist mir wörtlich in erinnerung geblieben.

    • 2001

die veränderng meiner füße und hände schreitet stetig voran.

vor allem gibt es immer wieder ein schnelles und kurzzeitiges aufflammen, das sich durch schwellungen, rötungen und schmerzen über bisher nicht betroffenen regionen bemerkbar macht, die nach ein bis zwei wochen wieder verschwinden können.

wie zum beispiel hier über dem distalen caput ulnare, dem unteren ende der elle.

die schwellung und rötung am ende des fingers ist dauerzustand

zu den defekten komme ich weiter unten.

die schwellung und rötung im mittleren bereich des fingers hat sich innerhalb von zwei tagen ausgebildet, hat zwei wochen angehalten, um sich dann vollständig, einschließlich der defekte, zurückzubilden.

daher kam ich auf den gedanken nach einer untersuchungs-methode zu suchen, die auch äußerlich nicht sichtbare, aber dennoch befallene knochen anzeigt.

die knochenscintigrafie.

der durchführende radiologe hielt zunächst nicht viel von diesem gedanken, war aber dann durch das ergebnis deutlich beeindruckt.

in den dunklen stellen hat sich die radioaktive substanz angereichert als zeichen dafür, daß sich dort irgendein entzündlicher prozeß befindet.deutlich sind auch bereiche zu erkennen, an denen bis zu diesem zeipunkt keine äußeren veränderungen sichtbar waren.

in den weiteren jahren ...

    • bin ich durch meine eingeschränkte leistungsfähigkeit gezwungen, meine als vollzeit ausgeführte tätigkeit als anästhesist schrittweise zu reduzieren. zunächst mit halber stundenzahl (bei ganzen arbeitstagen), schließlich auch aufgabe aller bereitschaftsdienste.

    • die diversen lungenfunktionsuntersuchungen ergeben jedesmal ein relativ unauffälliges, oder uneinheitliches bild: in einem labor kommt es angeblich sogar zu einer steigerung des arteriellen pO2 unter belastung (also der menge an sauerstoff im blut), was aber eher auf einen fehler bei der blutabnahme oder der labortechnik schließen läßt. insgesamt bestätigt sich, daß die bestimmung dieses wertes, vor allem während einer fahrradergometrie, stark fehlerbehaftet zu sein scheint.

    • der kohlenmonoxyd-diffusionstest ergibt keinen pathologischen befund (siehe hierzu den 'msd-artikel').

insgesamt widersprechen diese ergebnisse meinen subjektiven erfahrungen.

    • nach 1600 bis 3200 meter (die finnbahnrunde im bremer bürgerpark) laufen muß ich beenden, auch bei regelmäßigem training zwei- bis dreimal die woche stellt sich keine verbesserung ein.

    • ab 2000 höhenmetern habe ich erhebliche leistungsprobleme, nach wenigen schritten bergauf muß ich pausieren.

    • und nun kommt das erlebnis: während meiner letzten kur habe ich wiederholt auf einem fahrradtrainer mit 100 watt leistung getreten.

dieses abwechselnd mit und ohne sauerstoffatmung (6 liter/minute über eine maske). unter sauerstoff liegt meine pulsfrequenz im schnitt 10-20 % tiefer.

bei einem lungengesunden ist diese differenz nicht zu erwarten - die diffusionskapazität für gase ist unter 'normalbedingungen' nicht der limitierende faktor.

mittlerweile (juni 2010) habe ich versucht, für dieses phänomen eine ärztliche erläuterung zu bekommen, es ist mir bisher nicht gelungen.

und so sieht mein rechter fuß im märz 2010 aus:

der pfeil hat zweierlei bedeutung:

1. dies ist der ‘zeh des anfanges’, hier wurde der nagel wegen des verdachtes auf nagelmykose entfernt (ich darf mal lästern: liebe kollegen, keine mykose, keine erfrierung, sondern berylliose)

2. weist er auf eine akuten, hier sogar eitrigen defekt hin. (siehe oben das bild der finger)

ist dieser hautdefekt durch eine äußere verletzung entstanden? immerhin ist durch die permanente entzündung und schwellung die haut sehr labil und verletzlich. für dieses bild mag es so sein, aber an den fingern scheint mir etwas anderes die ursache.

aus der tiefe, vielleicht sogar aus den zystischen veränderungen des betroffenen knochen heraus, eröffnet sich die haut von innen um eine entlastung der tiefer liegenden entzündung zu bewirken.

in diesem fall ist extreme vorsicht geboten: ist einmal eine offene verbindung zwischen knochen und haut entstanden, eine sogenannte fistel, kann es zu einer echten, infektiösen (bakteriellen) sekundär- (folge-) infektion des knochens kommen. und, infektionen im knochen sind eine ganz üble sache’.

eine besondere beachtung (und applaus) bitte für den kleinen zeh, sowie für den zweiten zeh des linken fußes: diese sind schlank und rank, gesund und völlig unbeeindruckt von dem geschehen in ihrere nachbarschaft.

das soll mir mal jemand erklären.

    • husten

eine kleine begebenheit: ich arbeitete in einem bereich, in dem ungewöhnliche geräusche als sicherheitsrisiko eingeschätzt werden.

zitate:

“Oh, was war das?”

“Ach, Horst hat nur wieder gehustet.”

“Ach so.”

das war der moment an dem mir spätestens klar wurde, daß mein husten nicht nur eine subjektive und mir auffallende entwicklung darstellt.

so wie viele meiner symptome: sie sind - für sich alleine betrachtet - in der regel nicht schlimm (die kopfschmerzen ausgenommen), zeigen mir aber in ihrer gesamtheit, und vor allem in ihrer entwicklung, den fortgang der berylliose.

die eben geschilderte variabilität der symptome stellt für die dagnostik und für die beurteilenden ärzte ein problem dar. wie soll ich etwas zeigen, was gerade kaum zu sehen ist? so sehen heute am 5. august 2010 meine hände sehr gut aus. nur gering geschwollen, nur ein wenig gerötet.

nur gut, daß ich auch die anderen zustände dokumentiert habe - und meine füße schlimm aussehen.